Клиноподібний дефект
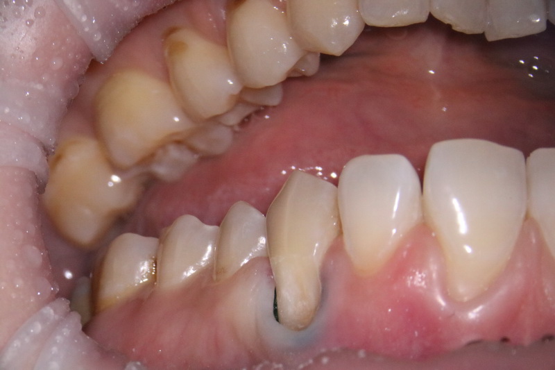
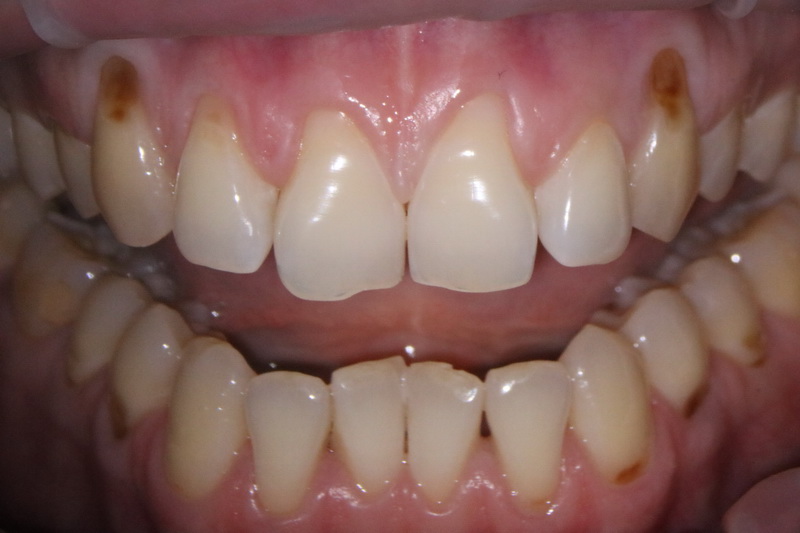
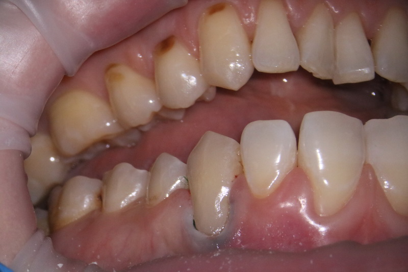
Клиноподібний дефект – це некаріозний дефект емалі, що розташовується на вестибулярній поверхні зуба в пришийковій зоні, тобто зі сторони губ та щік біля ясен.
Причини виникнення клиноподібного дефекту
Такі дефекти виникають за двома наступними причинами чи їх комбінацією:
неправильный прикус
травмування
Неправильний прикус призводить до локального перевантаження зубів і як наслідок емаль тріскається в ділянках пришийкових зон.
Травмування може бути як механічне, так і внаслідок порушень роботи органів ШКТ через які відбувається заброс шлункового соку в порожнину рота. Також емаль може руйнуватися під час чищення – це результат неправильних рухів зубною щіткою по емалі, яка внаслідок цього стирається. А зворотній заброс шлункового соку призводить до демінералізації емалі всіх зубів і як наслідок утворення клиноподібних дефектів.
Клиноподібний дефект лікування
Клиноподібний дефект сам по собі зникнути не може і з часом це призводить до повного стирання твердих тканин в пришийковій ділянці і як наслідок виникають переломи або сколи зубів.
Лікування може бути спрямованим на симптоми та причину. І в даному випадку треба застосовувати обидва ці способи.
Часто стоматологи працюють тільки з симптомами цієї патології, бо не досконало розуміють сутність проблеми, і як наслідок цього клиноподібний дефект нікуди не зникає а тільки збільшується, що в ітозі призводить до сколу зуба.
Симптоматично можна зняти гіперчутливість цих зубів, відреставрувати ці дефекти за допомогою композитної чи керамічної реставрації. А щоб подіяти на причину ми маємо виправити вади прикусу, що призводять до перевантаження зубів або навчити пацієнта правильним навичкам гігієни.


