Клінічний випадок №1
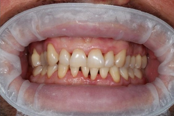
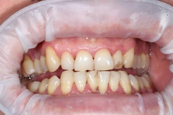
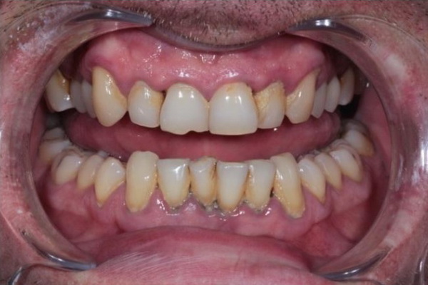
До нас в клініку звернувся пацієнт М. віком 35 років зі скаргами на зубні відкладення, набряк ясен та їх кровоточивість при чищенні зубів, неприємний запах з ротової порожнини.
При первинній діагностиці (першому візиті) після встановлення скарг пацієнта, збір інформації щодо анамнезу захворювання та анамнезу життя виявили, що пацієнт давно не звертався за допомогою до стоматолога, не проводив необхідні регулярні професійні гігієни ротової порожнини, недостатньо ефективно проводив індивідуальні гігієну ротової порожнини в домашніх умовах, а також пацієнт палить більше 10 сигарет на добу.
Клінічне обстеження пацієнта, включаючи індексну оцінку, складання пародонтальної карти, а також вивчення комп’ютерної томографії верхньої та нижньої щелеп продемонструвало наявність більш серйозної проблеми, чим просто запалення ясен (гінгівіт).
Був встановлений діагноз: генералізований пародонтит I ступеню тяжкості хронічний перебіг.
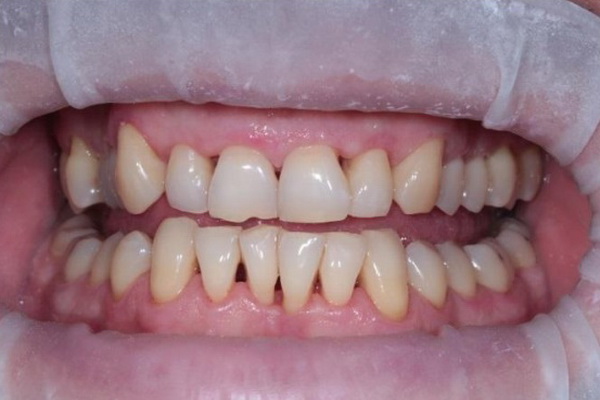
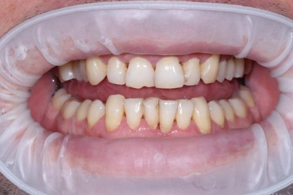
Пацієнту було проведене професійну гігієну ротової порожнини, навчання індивідуальній гігієні ротової порожнини з підбором засобів гігієни для максимально хорошого догляду за ротовою порожниною в домашніх умовах, зняття підясеневих зубних відкладень використовуючи спеціальні апарати, інструменти та матеріали, полірування поверхні коренів зубів, медикаментозна обробка ясен та пародонтальних кишень, а також надані рекомендації.
Такий був вигляд ясен пацієнта після лікування: ясна блідо-рожевого (природнього) кольору, не набряклі. Після видалення зубного каменю оголились поверхні коренів зубів: запалення в тканинах навколо зуба спричиняє руйнування кісткової тканини в якій знаходяться зуби, що призводить до опускання ясен на нижній щелепі та їх підйом на верхній щелепі.
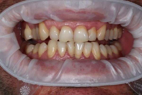
Стан ясен та зубів через 4 місяці після лікування (до та після проведення планової професійної гігієни ротової порожнини).
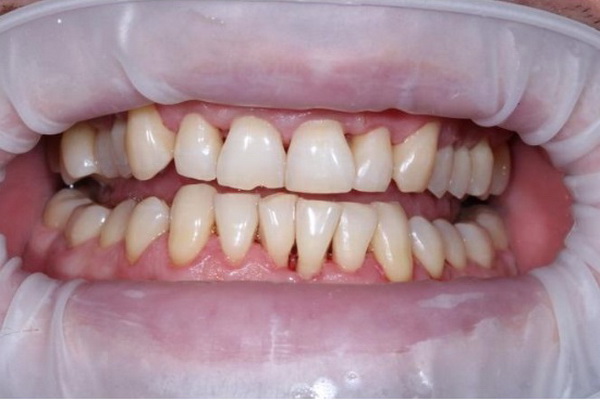
Стан ясен та зубів через 8 місяців після лікування (до та після проведення планової професійної гігієни ротової порожнини).
Стан ясен та зубів через 14 місяці після лікування (до та після проведення планової професійної гігієни ротової порожнини).
Не зважаючи на недостатньо якісну індивідуальну гігієну ротової порожнини ясна зберігають природній колір та незначно кровоточать при зондуванні.
Отже недостатня гігієна ротової порожнини в домашніх умовах, нерегулярне проведення професійної гігієни ротової порожнини в кріслі стоматолога, а також сприятливі фактори організму та шкідливі звички можуть спричинити виникнення запалення в тканинах навколо зуба, що може призвести до руйнування кістки, оголення поверхні коренів зубів, підвищеної чутливості зубів естетичних дефектів, а в запущених випадках до рухомості та втрати зубів.
Якщо Ви давно не були на консультації в стоматолога, не проводили професійної гігієни ротової порожнини, чи, наприклад, виявляєте кровоточивість зубів при їх чищенні в домашніх умовах, то ми запрошуємо Вас на консультацію та пародонтальну діагностику для запобігання або раннього виявлення захворювання ясен.
Якщо у Вас вже є симптоми прогресивного ураження тканин навколо зуба, то ми також з радістю допоможемо Вам використовуючи сучасні європейські протоколи лікування.










