Імплантація та протезування зубів All on 4

Імплантація та протезування зубів All on 4

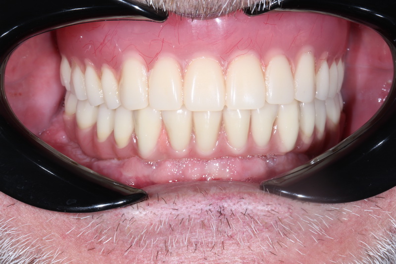
Протез за технологією All-on-4 буквально ставиться за один день.

Тобто пацієнт отримує функціональні зуби прямо в день операції і, наприклад, може спокійно їсти та пити.

Показання та протипоказання до імплантації

Втрата зубів – це велика проблема для людини, особливо у віці після 50 років.  Методика показана пацієнтам, у яких відсутні повністю або частково.  Імплантація зубів all-on-4 в QRD Dental допомагає швидко і надійно покращити якість життя, не відчуваючи дискомфорту (як при використанні знімних протезів).  

Основні показання:

  • за відсутності більшості зубів, коли ті, що залишилися, підлягають видаленню;
  • при повній адентії;
  • за бажання змінити знімний протез на постійну повноцінну щелепу.

Специфічних протипоказань до процедури немає. Методику застосовують у будь-якому віці, якщо стан здоров’я пацієнта дозволяє. Не можна проводити операцію лише в тому випадку, коли здоров’я в загальному не дозволяє проводити хірургічні маніпуляції:

  • загострення патології серцево-судинної системи;
  • активна стадія туберкульозу;
  • прогресування захворювання на ЦНС;
  • деякі захворювання кровоносної системи.

Імплантація зубів all on 4 має такі переваги:

  • Поліпшення якості життя. 
  • Відновлюються функції ротової порожнини, дикція, мова.
  • Правильне розподілення жувального навантаження.
  • Чудова естетика за короткий час.
  • Мінімальне пошкодження тканин щелепи.
  • Мінімальний ризик ускладнень.
  • Відсутність кісткової пластики. 
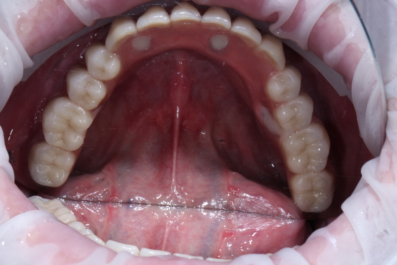
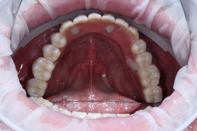
  • Весь зубний ряд встановлюється всього на 4 імпланти – два у фронтальному відділі, два у бічному під кутом 45º.
  • Вигідна ціна. 

У стоматології QRD Dental Ви отримаєте протезування на 4 імплантах з тимчасовим протезом за доступні кошти, це весь хірургічний етап і тимчасовий протез тривалого носіння.

Особливості технології All-on-4

Імплантація зубів на 4 імплантах у стоматології QRD Dental – це ефективний та зручний метод лікування адентії.  

При даній методиці не потрібно встановлювати імплант на кожну відсутню одиницю – 4 штучні корені встановлюються на верхній та нижній щелепі, щоб повноцінно відновити вашу усмішку.

Від знімних протезів імплантація зубів на 4 імплантах, ціна на яку себе повністю виправдовує, відрізняється  тим, що носить постійний характер і зараз вирішує проблему повної або часткової відсутності зубного ряду.

У класичному варіанті лікування адентії установка імплантів на кожен відсутній зуб є дорогим і травматичним втручанням.  Тому фахівці розробили спеціальну методику – імплантація зубів all-on-4, яка дозволяє провести лікування швидко, ефективно та доступно.

 4 імпланти вживлюються в кісткову тканину під певним кутом і стають міцною основою для протезу.  Імплантація зубів all-on-4 дає можливість проводити лікування пацієнтів з атрофією без кісткової пластики, оскільки забезпечується гарний контакт імплантат-кістка.  Установка штучного коріння під кутом не є травматичним, запобігає пошкодженню важливих анатомічних структур (гайморової пазухи, нижньощелепного каналу тощо).

На прикладі нашого кейсу хочемо показати весь етап лікування. Що  важливо знати про All-on-4, це те, що імплантація за протоколом All-on-4 відбувається у два етапи.

Діагноз з яким пацієнт звернувся в QRD Dental  повна адентія нижньої щелепи, лікарями було проведено детальне планування операції, розрахунок позицій імплантів,  фото протокол. 

Вибрано день імплантації, надано всі рекомендації пацієнтові  перед початком хірургічної маніпуляції.  

В день операції було проведено лікування, це – встановлення 4-х імплантів на нижній щелепі у попередньо сплановані позиції, з подальшим негайним навантаженням тимчасовим незнімним протезом.

Пацієнт залишився задоволеним, не отримавши жодних больових відчуттів. 

Якщо у Вас є страх перед операцією, ми також можемо запропонувати Вам седацію.

Пацієнт чекає  2-го етапу, через 4—6 місяців, де плануємо замінити тимчасовий протез на постійний.  Таким чином, пацієнт жодного дня не залишиться без зубів. 

Чекаємо Вас на консультації в QRD Dental наші лікарі хірурги з радістю поділяться з вами своїм досвідом, та покажуть різні клінічні випадки.